에이바이오 머티리얼즈 로고

Exosome Skin Booster

항염의 기준 Anti-inflammaging Exosome Skin Booster

Celexo 바이알 Exosome
Signaling
Celexo Point01

차세대 바이오 신재생 소재

  • Why Exo-Cica® Block?
    • 체크표시 고순도 특허 분리·정제
    • 체크표시 맞춤형 스마트 팜 병풀 품종
    • 체크표시 인체 유사 이중층 인지질 구조
      임상 입증된 항염 - 장벽 재생 - 스킨 부스팅 효과
  • Why Cica?
    • 체크표시 진정과 재생의 식물 유래의 '안전한'소재
      여드름, 홍조, 아토피, 레이저 시술 등 다양한 염증성 손상에 '안전'하게 적용 가능
    • 체크표시 이중층 인지질: 세포막과 유사 구조
      인체 내 존재하는 생리 활성 기전과 매우 유사한 작용
    • 체크표시 병풀 유래 엑소좀 내 포함 된 miRNA, 단백질, 지질 성분 등은
      피부 내 섬유아 세포, 각질 세포, 면역세포와 수용체 레벨에서 결합 가능
      실제 세포 활성화 및 유전자 발현 조절에 관여 가능 함
Celexo Point02

Smart Bioformulation

  • Exo-Cica® Block
    Inflammation Down

    세포손상 없는 유효성분, 순도, 수율 모두 높힌 식물 전용
    특허 분리 정제 기술로 빚은 고순도 식물 유래 엑소좀 복합체

  • Dual HA
    Barrier Up

    경피 수분 손실 감소를 위한
    양친매성 고&저분자 듀얼 구조 HA

  • Collagen I&III
    Dermal Reconstruction (Collagen Boost)

    인체 유사 콜라겐
    안정성 강화 및 우수한 생체 적합성

Celexo Point03

Anti-inflammation Signaling
By Celexo formulation

  • Exo-miRNA Signaling
    Exo-miRNA
    Signaling
  • IL-6 & TNF-α 유전자 발현 억제
    IL-6 & TNF-α
    유전자 발현 억제
  • IL-6, IL-8 합성 감소
    IL-6, IL-8
    합성 감소
염증성 트러블 개선
  • 염증성 트러블 개선 전 피부
    Before
  • 염증성 트러블 개선 후 피부
    After
만성 염증성 피부 환경 유발 악순환 매커니즘
Celexo Point04

Regenerative Solution :
3-Stage Full Cycle 재생 매커니즘

  • Phase 1
    Inflammation Control

    염증제어로 시작하는 재생

  • Phase 2
    Barrier Restoration

    장벽복원을 통한 확실한 재생

  • Phase 3
    Dermal Reconstruction (Collagen Boost)

    눈으로 확인하는 완벽한 재생 마무리

Anti-inflammagingstage 1

확실하고 압도적인 항염 효과

  • Exo-Cica® Block
    HDF 손상 회복을 통한 세포 재생력 평가 테스트
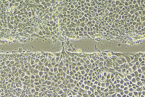
  • 8 hours later
    HDF 손상 회복을 통한 세포 재생력 평가 테스트
[HDF 손상 회복을 통한 세포 재생력 평가 테스트]

마데카소사이드 대비 22.6% 이상의
조직 재생 효과를 나타냄

Celexo가 Allantoin 및 시장 선도 제품 대비 항염 효과가 우수함을 보여주는 그래프 이미지
Anti-inflammagingstage 2

피부 구조를 복원하는 정밀 장벽 회복

  • Filaggrin (FLG) staining 대표 이미지
  • Filaggrin (FLG) staining 대표 이미지
  • Filaggrin (FLG) staining 대표 이미지
  • Filaggrin (FLG) staining 대표 이미지
Filaggrin (FLG) staining 대표 이미지 (×400, scale bar = 20 μm)

형광현미경을 이용한 인체 유래 피부 조직 모델
단면 관찰 결과, PDRN 대비 탁월한 효과 확인

2024 Ex-vivo 인체유래 피부조직에서 세렉소에 대한 탄력, 장벽개선 및 재생 효능 평가시험 (KBI 한국의생명연구원)

*2024 Ex-vivo 인체유래 피부조직에서 세렉소에 대한 탄력, 장벽개선 및 재생 효능 평가시험 (KBI 한국의생명연구원)

Anti-inflammagingstage 3

차오르는 콜라겐 리빌딩 : 수치로 증명된 볼륨 복원

눈가 주름 인체적용 시험 결과
  • 눈가 주름 인체적용 시험 결과 이미지
  • 눈가 주름 인체적용 시험 결과 이미지
  • 눈가 주름 인체적용 시험 결과 이미지

시험 전 평균 0.58mm2 3회 시술 2주 후 0.47mm2
대조군 대비 더 높은 주름 깊이 감소 확인

모공 개선 인체적용 시험 결과
  • Before 모공 개선 인체적용 시험 결과 전 이미지
  • After 모공 개선 인체적용 시험 결과 후 이미지

시험 전 평균 20.63mm2 3회 시술 2주 후 14.30mm2
대조군 대비 더 빠르고 지속적인 모공 면적 감소

(평균±오차, 유의확률 *p<0.05 vs. 시술 전,
p<0.05 vs. 대조제품)

피부 윤광 개선 인체적용 시험 결과
  • Before 피부 윤광 개선 인체적용 시험 결과 전 이미지
  • After 피부 윤광 개선 인체적용 시험 결과 후 이미지

시술 직후 8% 이상 개선
1회 시술 2주 후 12.50%,
3회 시술 2주 후 25% 이상 개선 확인

*2024 인체피부 개선효과 평가시험 KBI 한국의생명연구원
(by IRB approval)

다양한 EBD와 완벽한 시너지

  • Auto MTS

  • Celexo 로고

    EBD

  • Needle RF

적재적소, 세렉소

Celexo 로고
10 vials / 1 box